EUROPE AND THE UNITED STATES DENTAL CORRECTION GOLD STANDARD TECHNOLOGY IS POPULAR IN THE WORLD FOR 30 YEARS
自锁托槽矫正诞生于30年前
美国精进口腔医学教育学院于1984年创建于加利福利亚洲圣安娜市。创始人麦戈恩博士根据多年积累的丰富临床经验,自创了一套系统性的个性化矫正装置的理论、原理及应用,以达到高效率临床治疗的效果。
全美牙齿矫正金标准
传统矫正,医生凭经验很难做到对矫正过程中出现偏差的精准把控。美国智能自锁托槽矫正技术提供了高清晰三维数字图像,医生实施矫治过程真正做到了精准精确。美国牙医协会已将它列为美国矫正的金标准。
全球50个国家推广盛行
30年来,美国智能自锁托槽矫正技术凭借其对顾客畸形牙的强大修复效果,在世界口腔学术界享有盛誉。世界各地口腔界纷纷将此项技术引入国内,目前为止,美国智能自锁托槽矫正技术已在世界50个国家推广使用。

RIGOROUS SCIENTIFIC DIAGNOSIS AND TREATMENT PROCESS TO DO A PERFECT EVERY STEP
1.与医生沟通
2.数字化全科检查
3.个性化正畸方案设计
4.数字化取模
5.定制(安装)矫治器
6.遵医嘱,周期性复诊
7.数字化美学复查
8.完成矫正
9.定期追踪回访
6 MAJOR SDVANTAGES SCIENTIFIC CORRECTION LEAD ORTHODONTIC NEW EXPERIENCE
智能自锁托槽矫正是现代口腔医学、计算机辅助三维诊断、个性化设计及数字化成型技术的完美结合,在数字化测量、诊断的基础之上采用具有智能记忆效果的自锁托槽矫治器进行矫正,比传统矫正和一般的自锁托槽更具优势,摆脱了传统"铁齿钢牙"的束缚,因其托槽的精致小巧,正畸省时、舒适、美观、少拔牙,受到了众多正畸者的青睐。而且智能自锁托槽矫正减少了椅旁操作时间和复诊次数,使矫正时间缩短三分之一,复诊次数减少二分之一。
TAKE THE LEAD IN INTRODUCING U-LINE GOLD OF ORTHODONTIC TOOTH BEAUTY BEAUTY FACE SHOOTING TWO BIRDS WITH ONE STONE
北京京通口腔医院打造以面部整体为中心的形态与功能矫正,达到面型美、自然、健康,率先U-LINE美牙环境定律设计理念。面容与牙齿整体美,通过美学分析和整体面部设计,构建完美嘴形和甜美的笑容,矫正牙齿的同时,更能塑造完美脸型。
Beijing Jingtong TREE MOUTH STRENGTH DOCTORS TENS OF THOUSANDS OF CASES TO CORRECT ZERO DEFECTS FOR YOUR RROTECTION "TOOTH"
BEI JINGTONG ORAL MEDICINE RESEARCH INSTITUTE TO CREATE THE DOMESTIC TOP TEN ORTHODONTIC GOLD STANDARD
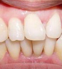
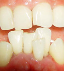
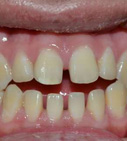
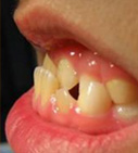
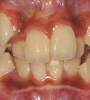
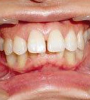
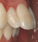
北京京通口腔医院,是一所集医疗、科研为一体的现代化口腔专业医院,大量开展复杂牙颌面畸形的正畸-正颌联合矫治 、牙周病、错颌畸形的综合矫治、伴错颌畸形的正畸治疗、牙齿缺失、伴错颌畸形的正畸-修复联合治疗等,适应范围:牙齿不齐、龅(暴)牙、牙齿稀疏、牙齿拥挤、地包天、牙错位、咬合重建等,正畸咨询热线:010-8050 6869。